- As valvulopatias alteram a abertura e o fechamento das quatro válvulas cardíacas, causando estenose, regurgitação ou atresia.
- Idade avançada, febre reumática, malformações congênitas, endocardite e fatores de risco cardiovasculares aumentam a probabilidade de doença valvular.
- O diagnóstico baseia-se em anamnese, exame físico, auscultação de sopros e principalmente ecocardiograma, complementado por outros exames quando necessário.
- O tratamento vai de medicamentos e mudanças de estilo de vida até reparação ou substituição cirúrgica da válvula, com próteses biológicas ou mecânicas.

As doenças das válvulas cardíacas, também chamadas valvulopatias, são alterações que impedem que as válvulas do coração abram e fechem como deveriam. Quando isso acontece, o sangue deixa de circular de forma eficiente, o coração precisa fazer mais força para bombear e, pouco a pouco, todo o organismo pode ser afetado. Muitas pessoas convivem anos com um problema valvular sem perceber, mas em outras o quadro evolui rapidamente e pode levar a complicações graves se não for tratado.
Entender como funcionam as válvulas e quais são os tipos, causas, sintomas, exames e tratamentos da doença valvular é fundamental para reconhecer sinais de alerta e procurar ajuda médica a tempo. A boa notícia é que, hoje em dia, a maior parte das valvulopatias pode ser controlada ou corrigida com medicamentos, mudança de estilo de vida e, quando necessário, com cirurgia ou procedimentos percutâneos altamente eficazes.
O que são as doenças das válvulas cardíacas?
Valvulopatia é o termo usado para designar qualquer doença que atinge uma ou mais das quatro válvulas do coração: a válvula tricúspide, a válvula pulmonar, a válvula mitral e a válvula aórtica. Essas estruturas funcionam como portões que se abrem e se fecham a cada batimento, garantindo que o sangue siga sempre no sentido correto, sem refluxo.
Cada válvula possui finas “folhas” (também chamadas de cúspides ou folhetos valvulares) que se movimentam de forma coordenada. Quando o coração contrai, as válvulas adequadas se abrem para permitir que o sangue avance para a câmara seguinte ou para os grandes vasos; logo em seguida, elas se fecham para impedir que o sangue volte para trás. Esse mecanismo garante um fluxo unidirecional e eficiente.
Quando uma válvula não abre totalmente ou não consegue fechar direito, o fluxo fica prejudicado. Em alguns casos, o sangue tem dificuldade de passar através de um orifício estreitado; em outros, ele volta para a câmara de onde saiu, forçando o coração a trabalhar dobrado para manter o mesmo volume de sangue circulando para o corpo.
Se uma ou mais válvulas falham de modo importante, o coração pode dilatar, enfraquecer e acabar em insuficiência cardíaca. Além disso, aumentam o risco de arritmias, formação de coágulos, acidente vascular cerebral (AVC), infarto e, em situações extremas, morte súbita. Por outro lado, alterações leves podem permanecer estáveis por muitos anos e nunca chegar a causar sintomas relevantes.
Principais tipos de problemas das válvulas cardíacas
Apesar de existirem muitas causas diferentes, a forma como as válvulas se alteram costuma seguir três padrões básicos: regurgitação (ou refluxo), estenose e atresia. Uma mesma válvula pode, inclusive, apresentar mais de um desses problemas ao mesmo tempo.
Na regurgitação, a válvula não fecha de maneira completamente hermética, permitindo que parte do sangue retorne para a câmara anterior em cada batimento. Isso acontece porque os folhetos não se encaixam bem, ficam frouxos, deformados ou presos por cordas tendíneas alongadas ou rompidas. É como uma porta que não encosta direito e deixa o vento (no caso, o sangue) passar de volta.
Uma causa frequente de regurgitação é o prolapso valvar, em especial o prolapso da válvula mitral. Nesse quadro, parte das cúspides da válvula “cedem” e se projetam para dentro da câmara do coração quando ele se contrai, favorecendo o escape de sangue. Em muitas pessoas o prolapso é leve, quase sempre assintomático; em outras, pode evoluir para uma insuficiência mitral significativa.
Na estenose, o problema está na dificuldade da válvula em se abrir completamente. Os folhetos podem ficar engrossados, rígidos, calcificados ou colados uns aos outros, reduzindo a área de passagem. Com isso, o coração precisa gerar pressão mais alta para empurrar sangue por um orifício estreito, o que sobrecarrega a câmara que está antes da válvula.
Um exemplo clássico é a estenose aórtica, uma das valvulopatias mais importantes. Ela acomete a válvula que controla a saída de sangue do ventrículo esquerdo para a aorta, a grande artéria que leva o sangue oxigenado a todo o corpo. Quando essa válvula se estreita de forma severa, pequenas atividades do dia a dia podem provocar falta de ar, dor no peito, síncopes (desmaios) e risco maior de eventos graves.
A atresia é uma forma mais extrema de alteração valvar, em que a válvula não se forma de maneira adequada. Nesses casos, não existe uma abertura funcional para o sangue passar. Esse defeito costuma ser congênito, ou seja, presente desde o nascimento, e geralmente se manifesta logo nos primeiros dias de vida, muitas vezes como uma emergência cardíaca pediátrica.
Como funcionam as quatro válvulas do coração
O coração conta com quatro válvulas principais, organizadas entre as câmaras cardíacas e os grandes vasos. Duas delas estão no lado esquerdo (mitral e aórtica) e duas no lado direito (tricúspide e pulmonar). Apesar de todas poderem adoecer, as valvulopatias mitral e aórtica costumam ter maior impacto clínico, pois o lado esquerdo do coração é responsável por bombear sangue para todo o organismo.
A válvula mitral fica entre o átrio esquerdo e o ventrículo esquerdo. Ela se abre quando o átrio se contrai, permitindo que o sangue passe para o ventrículo; em seguida, se fecha na sístole ventricular para impedir que o sangue volte para o átrio. Alterações como estenose mitral (muitas vezes de origem reumática) ou insuficiência mitral (por degeneração, prolapso ou dilatação do ventrículo) são causas comuns de falta de ar e fadiga. Para entender melhor a anatomia relacionada, veja também as partes do coração humano.
A válvula aórtica está localizada na saída do ventrículo esquerdo para a aorta. Sua função é controlar a saída do sangue oxigenado para o corpo e evitar o refluxo da aorta de volta para o ventrículo. Estenose aórtica degenerativa por calcificação é muito comum em pessoas idosas; já a insuficiência aórtica pode surgir por alterações da própria válvula ou da raiz da aorta.
No lado direito, a válvula tricúspide liga o átrio direito ao ventrículo direito, enquanto a válvula pulmonar controla o fluxo do ventrículo direito para a artéria pulmonar, que leva sangue aos pulmões para oxigenação. Embora as doenças dessas válvulas sejam, em geral, menos frequentes que as do lado esquerdo, elas também podem causar sintomas importantes, como inchaço nas pernas e acúmulo de líquido no abdome.
O correto funcionamento conjunto das quatro válvulas é essencial para manter o fluxo sanguíneo coordenado. Qualquer desequilíbrio — seja por estreitamento (estenose), por vazamento (regurgitação) ou por malformação (atresia) — quebra essa harmonia e gera sobrecarga em uma ou mais câmaras cardíacas.
Valvulopatias congênitas: problemas presentes desde o nascimento
Algumas doenças das válvulas cardíacas são congênitas, isto é, já estão presentes quando o bebê nasce. Elas aparecem por alterações no desenvolvimento do coração durante a gestação e podem envolver apenas a válvula ou estar associadas a outras cardiopatias congênitas, como comunicações entre câmaras ou anomalias de grandes vasos.
O espectro de gravidade das valvulopatias congênitas é muito amplo. Em quadros mais leves, a alteração é pequena, o fluxo sanguíneo ainda passa relativamente bem e a criança pode permanecer assintomática por anos, sendo diagnosticada apenas em exames de rotina. Em contrapartida, defeitos graves — como atresias ou estenoses críticas — podem bloquear significativamente a passagem de sangue, exigindo tratamento imediato após o nascimento.
Entre os problemas congênitos mais conhecidos está a , em que a válvula aórtica, que normalmente tem três cúspides, se forma apenas com duas. Essa variação pode funcionar de maneira aceitável na infância e adolescência, mas tende a sofrer desgaste precoce, levando à estenose ou insuficiência com o passar dos anos.
Algumas dessas alterações congênitas têm componente hereditário bem definido. Isso significa que um gene específico transmitido dos pais para os filhos aumenta o risco de o bebê nascer com a anomalia valvar. Por isso, em famílias com histórico de valvulopatias, especialmente em idade jovem, pode ser recomendada avaliação cardiológica mais precoce nos parentes de primeiro grau.
Doenças valvulares que aparecem ao longo da vida
Nem toda valvulopatia nasce com a pessoa; muitas se desenvolvem ao longo dos anos, seja por envelhecimento natural das válvulas, por infecções, por outras doenças cardíacas ou até por certos tratamentos médicos. Nesses casos, a válvula inicialmente é normal, mas vai se deteriorando lentamente, até causar sintomas.
Um dos fatores mais importantes é a idade avançada. As válvulas se abrem e fecham em torno de 60 vezes por minuto; ao longo de décadas, esse movimento constante causa desgaste. Após uns 70 anos de vida, elas já se movimentaram bilhões de vezes, o que ajuda a explicar o seu endurecimento, espessamento e calcificação. Esse processo degenerativo é uma das principais causas de estenose aórtica e de insuficiência mitral em idosos.
Outras condições cardiovasculares também favorecem a doença valvular adquirida. A hipertensão arterial, a doença coronariana (entupimento das artérias do coração), aneurismas, determinados tumores e a insuficiência cardíaca podem alterar a geometria das câmaras e das válvulas, provocando vazamentos funcionais, mesmo quando a estrutura da válvula em si não está deformada originalmente.
Medicamentos e dispositivos médicos podem, em algumas situações, contribuir para o problema. Em pacientes que usam marcapassos ou desfibriladores implantáveis, por exemplo, os cabos dos aparelhos podem friccionar contra uma válvula, gerar tecido cicatricial ou alterar o ritmo cardíaco de forma a distender o anel valvar. Em longo prazo, isso pode resultar em regurgitação, principalmente na válvula tricúspide.
A radioterapia usada no tratamento de alguns tipos de câncer também está associada ao comprometimento valvar. A exposição do tórax à radiação pode, anos depois, provocar espessamento, rigidez e estreitamento das válvulas, sobretudo aórtica e mitral, aumentando o risco de estenose importante nessas estruturas.
Causas mais comuns de valvulopatias
As valvulopatias têm múltiplas origens, e frequentemente mais de um fator se combina em um mesmo paciente. Entre as causas mais destacadas, além da degeneração pelo envelhecimento, estão a febre reumática, as malformações congênitas, as infecções (endocardites), o trauma e doenças sistêmicas.
A febre reumática, que acontece como complicação de infecção de garganta por estreptococos não tratada adequadamente, é uma causa clássica de doença valvular. O sistema imunológico, ao tentar combater a bactéria, acaba atacando também estruturas do próprio corpo, em especial as válvulas cardíacas, levando a cicatrizes que, com o tempo, provocam estenose e/ou insuficiência — principalmente na válvula mitral.
As malformações congênitas englobam desde válvulas mal formadas, espessadas ou com número anormal de cúspides até atresias completas. Muitas dessas alterações passam despercebidas ao nascimento, mas, com o crescimento e o aumento das demandas do organismo, tornam-se clinicamente evidentes.
As endocardites infecciosas, por sua vez, representam infecções diretas da superfície interna do coração e das válvulas. Bactérias da corrente sanguínea podem se fixar em válvulas previamente saudáveis ou, com ainda mais facilidade, em válvulas que já apresentem alguma anomalia estrutural. Procedimentos como tratamentos dentários, cirurgias ou uso prolongado de cateteres podem favorecer a entrada de microrganismos na circulação.
Traumas torácicos importantes, uso de certas drogas ilícitas, doenças autoimunes (como lúpus), diabetes e aterosclerose também podem contribuir para a deterioração valvar. Além disso, homens, em todas as faixas etárias, parecem ter um risco um pouco maior de desenvolver algumas valvulopatias específicas, como a estenose aórtica, quando comparados às mulheres.
Quem tem maior risco de desenvolver doença valvular?
Embora qualquer pessoa possa ter uma valvulopatia, existem grupos com probabilidade significativamente maior de desenvolver esse tipo de problema. A idade, os antecedentes familiares, o estilo de vida e outras doenças coexistentes desempenham papel importante.
Pessoas idosas constituem um dos principais grupos de risco. Com o aumento da expectativa de vida nas últimas décadas, cresceu muito a frequência de valvulopatias degenerativas, sobretudo estenose aórtica e insuficiência mitral. Atualmente, entre os pacientes com doença valvular mais grave, uma grande parcela tem mais de 70 anos.
O histórico familiar de doença cardíaca precoce — por exemplo, pai ou irmão com cardiopatia antes dos 55 anos, ou mãe ou irmã antes dos 65 anos — também aumenta a probabilidade de doença de válvula. Alterações hereditárias específicas, como a válvula aórtica bicúspide ou certas formas de valvulopatia mitral, podem aparecer repetidamente em membros de uma mesma família.
Os hábitos de vida têm peso considerável, ainda que de forma indireta. Sedentarismo, tabagismo, alimentação rica em gorduras e sal, obesidade e consumo excessivo de álcool favorecem outras doenças cardíacas e vasculares (hipertensão, coronariopatia, aterosclerose), que acabam por sobrecarregar e deformar as válvulas ao longo do tempo.
Doenças como hipertensão arterial, diabetes, lúpus e outras condições autoimunes, além de tratamentos como radioterapia torácica, completam o quadro de fatores de risco. Em especial, quem combina vários desses elementos — por exemplo, idade avançada, hipertensão, histórico familiar e estilo de vida pouco saudável — precisa de vigilância cardiológica mais próxima.
Sintomas das doenças das válvulas cardíacas
Muitas valvulopatias evoluem de forma silenciosa durante anos, sem causar qualquer queixa perceptível. Não é raro uma pessoa viver toda a vida com uma válvula ligeiramente alterada e nunca apresentar problemas. Porém, quando a doença progride, os sinais e sintomas começam a aparecer e tendem a piorar se não houver tratamento.
Quando a válvula afetada está no lado esquerdo do coração (mitral ou aórtica), os sintomas clássicos são de insuficiência cardíaca esquerda. A pessoa passa a sentir falta de ar aos esforços, depois em atividades cada vez mais leves, e, nos casos mais avançados, mesmo em repouso. Pode surgir dificuldade para dormir deitado, necessidade de usar várias almofadas ou até acordar à noite com sensação de sufocamento.
A intolerância ao exercício físico é muito comum. Atividades que antes eram bem toleradas — como subir escadas, caminhar alguns quarteirões ou carregar sacolas — tornam-se cansativas. Em certos quadros, há também dor no peito (angina), tonturas e desmaios, principalmente em casos de estenose aórtica severa.
Quando o problema se localiza nas válvulas do lado direito (pulmonar ou tricúspide), os sintomas predominam como insuficiência cardíaca direita. Nessa situação, o sangue encontra dificuldade para retornar ao coração e acaba se acumulando na circulação venosa, provocando inchaço nas pernas e tornozelos, aumento do fígado, sensação de peso no abdome e, muitas vezes, acúmulo de líquido na cavidade abdominal (ascite).
As valvulopatias também podem desencadear arritmias cardíacas, que se manifestam como palpitações, batimentos irregulares ou sensação de “coração disparado”. Em casos de endocardite, febre persistente, calafrios, mal-estar geral e perda de peso podem acompanhar os sintomas cardíacos.
Complicações possíveis se a doença não for tratada
Quando uma válvula não funciona bem e o problema não é tratado, o coração precisa bombear com mais força e em condições menos favoráveis para garantir o fluxo de sangue necessário ao corpo. Essa sobrecarga constante provoca alterações estruturais, como dilatação das câmaras, espessamento inicial da musculatura e, mais tarde, enfraquecimento do músculo cardíaco.
Nessa situação, o risco de insuficiência cardíaca congestiva aumenta consideravelmente. O paciente passa a acumular líquido nos pulmões (provocando falta de ar), nas pernas e no abdome, além de apresentar fadiga intensa. Mesmo tarefas simples do cotidiano tornam-se difíceis de realizar.
A estagnação do sangue e as turbulências geradas pelo fluxo anormal também favorecem a formação de coágulos. Esses trombos podem se desprender e migrar para outras partes do corpo, provocando acidente vascular cerebral (AVC), embolia pulmonar ou infartos em outros órgãos, como rins e baço.
Em alguns casos, pode ocorrer infarto do miocárdio devido ao desequilíbrio entre a demanda de oxigênio do coração e o suprimento efetivo. Arritmias ventriculares graves e morte súbita também são possíveis, sobretudo em valvulopatias severas não tratadas, associadas a grande dilatação cardíaca ou inflamações ativas como a endocardite.
A própria endocardite infecciosa é uma complicação temida. Pacientes com válvulas alteradas — nativas ou próteses — apresentam risco maior de sofrer infecções por bactérias ou fungos na superfície valvar. Quando isso acontece, o quadro pode se agravar rapidamente, exigindo antibióticos potentes e, muitas vezes, cirurgia de urgência para substituir a válvula destruída pela infecção.
Como é feito o diagnóstico da doença valvular?
O diagnóstico adequado da valvulopatia começa com uma boa conversa entre paciente e profissional de saúde. O médico investiga sintomas como falta de ar, dor no peito, desmaios, inchaço nas pernas, febre prolongada, além de antecedentes pessoais (infecções de garganta, febre reumática, radioterapia, cirurgias, doenças autoimunes) e familiares (histórico de cardiopatia precoce ou valvulopatia hereditária).
Na sequência, o exame físico é fundamental. A auscultação do coração com o estetoscópio permite detectar sopros, cliques e outros sons anormais que sugerem alteração no funcionamento das válvulas. O tipo de som, o momento em que aparece no ciclo cardíaco e sua intensidade já dão pistas sobre qual válvula está comprometida e se o problema é mais de estenose ou regurgitação.
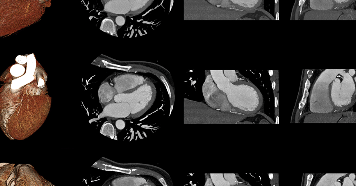
Na maioria das vezes, o paciente é encaminhado a um cardiologista, especialista em doenças do coração. Esse profissional aprofunda a avaliação e solicita exames complementares, sendo o principal deles o ecocardiograma, que é uma espécie de “ultrassom do coração” capaz de mostrar em tempo real o movimento das valvas, o fluxo sanguíneo e o tamanho e função das câmaras cardíacas.
O ecocardiograma pode ser feito via transtorácica (com o transdutor apoiado no peito) ou via transesofágica (com o aparelho introduzido no esôfago para imagens mais detalhadas). Esse exame é essencial tanto para confirmar o diagnóstico quanto para medir a gravidade da estenose ou da regurgitação, avaliar o impacto sobre o músculo cardíaco e orientar a escolha do tratamento.
Outros exames também podem ser úteis em casos selecionados, como o eletrocardiograma simples ou de esforço, que ajuda a identificar arritmias e avaliar a resposta do coração à atividade física; exames de imagem avançados, como a ressonância magnética cardíaca, que permitem analisar com grande precisão a anatomia das válvulas e o grau de regurgitação; e a cateterização cardíaca, que mede pressões dentro do coração e pode ser indicada na avaliação pré-cirúrgica ou em situações complexas.
Tratamento das doenças das válvulas cardíacas
O tratamento das valvulopatias é individualizado e depende do tipo de válvula acometida, do grau de estenose ou regurgitação, da presença de sintomas e das condições clínicas gerais do paciente. Em muitos casos, é possível acompanhar a doença por anos com consultas regulares e exames periódicos, intervindo de forma mais invasiva apenas quando necessário.
É importante destacar que não existe, até o momento, um medicamento capaz de “curar” uma válvula doente ou reverter totalmente uma estenose ou insuficiência significativa. Os remédios disponíveis servem principalmente para aliviar sintomas, controlar a pressão arterial, tratar insuficiência cardíaca associada, prevenir coágulos e reduzir o risco de complicações.
Entre os fármacos mais utilizados, podem entrar diuréticos (para diminuir o acúmulo de líquido), vasodilatadores, betabloqueadores, inibidores da enzima conversora de angiotensina (IECA), anticoagulantes e, em situações selecionadas, antibióticos profiláticos. A escolha e a combinação dessas medicações variam bastante de um caso para outro, razão pela qual o seguimento próximo com o cardiologista é tão importante.
Além dos remédios, mudanças de estilo de vida fazem parte do tratamento. Adotar uma alimentação equilibrada, com pouco sal e gorduras saturadas, manter peso adequado, praticar atividade física regular (na medida autorizada pelo cardiologista), controlar a pressão arterial, o colesterol e a glicemia, não fumar e consumir álcool com muita moderação são medidas que ajudam a proteger o coração como um todo.
Quando a valvulopatia atinge um grau em que compromete de forma importante a função do coração ou causa sintomas relevantes, entra em cena o tratamento intervencionista: reparação (plastia) ou substituição da válvula. A cirurgia ainda é a forma mais comum de correção, mas, em alguns casos, é possível recorrer a técnicas percutâneas, realizadas por cateter, indicadas principalmente para pacientes com alto risco cirúrgico.
Cirurgia e substituição de válvulas cardíacas
A decisão de operar uma válvula cardíaca leva em conta não apenas a gravidade do defeito, mas também a idade, as doenças associadas, a função do ventrículo e até o estilo de vida do paciente. Em determinadas situações, mesmo sem sintomas marcantes, recomenda-se a cirurgia para evitar que o coração se deteriore de forma irreversível.
Quando é possível, a prioridade costuma ser a reparação da válvula (cirurgia conservadora), e não a substituição completa. A plástica valvar preserva a válvula original do paciente, remodelando os folhetos, encurtando ou reforçando cordas tendíneas e ajustando o anel valvar. Esse tipo de abordagem está muito bem estabelecido na válvula mitral e, sempre que viável, oferece resultados duradouros com menor risco de complicações em comparação às próteses.
Nos casos em que a válvula está seriamente danificada, deformada ou calcificada, a solução é a troca por uma válvula protética. Existem basicamente dois grandes tipos de próteses: as biológicas (feitas de tecido animal — geralmente porco ou boi — ou humano) e as mecânicas (produzidas com materiais sintéticos de alta durabilidade).
As válvulas biológicas tendem a se desgastar com o passar dos anos, em média após 10 a 15 anos, embora algumas durem mais tempo. A grande vantagem é que, em muitos pacientes, não há necessidade de uso prolongado de anticoagulantes em dose alta, o que reduz o risco de sangramentos. Por isso, costumam ser preferidas em pessoas mais idosas ou naquelas em que o uso de anticoagulação crônica é problemático.
As próteses mecânicas, por sua vez, têm a vantagem de praticamente não se desgastarem. Elas podem durar décadas sem perda importante de desempenho, o que as torna uma boa opção para pacientes mais jovens. Em contrapartida, exigem o uso de anticoagulantes orais por toda a vida, para evitar formação de coágulos sobre a válvula, e estão associadas a maior risco de endocardite do que as biológicas.
Em situações específicas, é possível realizar procedimentos menos invasivos, como a dilatação (valvuloplastia) de válvulas estenóticas por meio de cateter. Essa técnica é utilizada em alguns tipos de estenose, principalmente mitral e pulmonar, quando a anatomia é favorável, evitando a necessidade de cirurgia aberta em certos pacientes.
Prevenção e cuidados no dia a dia
Embora não seja possível evitar todos os tipos de doença valvular, várias medidas ajudam a reduzir o risco de desenvolver valvulopatias ou de agravar problemas já existentes. O primeiro passo é controlar rigorosamente fatores de risco cardiovasculares, como pressão alta, diabetes e aterosclerose, que prejudicam tanto as artérias quanto as estruturas do coração.
Tratar adequadamente infecções de garganta que duram mais de 48 horas, sobretudo quando acompanhadas de febre, é essencial para prevenir a febre reumática. O uso de antibiótico prescrito pelo médico, quando indicado, diminui a chance de lesão valvar reumática futura, principalmente em crianças e adolescentes em áreas onde a febre reumática ainda é frequente.
Manter um estilo de vida saudável também é parte importante dessa prevenção. Evitar o cigarro, moderar o consumo de álcool, seguir uma dieta variada e equilibrada, pobre em sal e gorduras saturadas, praticar atividade física regular e manter um peso corporal adequado ajudam a preservar a função cardíaca global e, indiretamente, a proteger as válvulas.
Em pessoas com valvulopatia conhecida, é crucial seguir as orientações do cardiologista. Isso inclui comparecer às consultas de acompanhamento, realizar os ecocardiogramas na frequência recomendada, tomar corretamente os medicamentos e, quando necessário, utilizar antibióticos profiláticos antes de certos procedimentos que possam levar bactérias à corrente sanguínea, como alguns tratamentos dentários, conforme orientado pelo especialista.
Por fim, estar atento a qualquer mudança de sintomas — como aumento da falta de ar, novos episódios de desmaio, inchaço repentino nas pernas, febre persistente ou palpitações intensas — é fundamental. O reconhecimento precoce de piora clínica possibilita ajustes rápidos no tratamento e reduz o risco de complicações graves.
Conhecer o que são as doenças das válvulas cardíacas, por que surgem, como se manifestam e de que forma podem ser diagnosticadas e tratadas permite que cada pessoa assuma um papel ativo no cuidado do próprio coração; com acompanhamento médico adequado, uso correto de medicamentos, possíveis intervenções cirúrgicas quando indicadas e um estilo de vida cardioprotetor, é perfeitamente possível conviver com uma valvulopatia mantendo boa qualidade de vida e reduzindo de forma significativa o risco de eventos graves.
